Our Treatments

Our Treatments


👉🏿Treatment of irregular & protruded teeth by fixed & removable appliance (Braces & Clear aligners treatment).

👉🏿 Routine Dental Treatment-Filling & extration of teeth.

👉🏿Speciality care for children`s dental problems.

👉🏿Decayed & broken teeth can be preserved by root canal treatment.

👉🏿Replacement of missing teeth by Dental Implants,Removable & fixed prosthesis(porcelain & zirconia crowns).

👉🏿Oral Prophylaxis(cleaning of teeth) with ultrasonic cleaner.

👉🏿Light cure cosmetic fillings.

👉🏿Dental X-Rays with computerised X-ray Machine.

👉🏿Dental Implant for missing theeth.

Our Treatments

CLEAR ALIGNERS

CERAMIC BRACES

METALLIC BRACES

IMPLANTS

ZIRCONIA CROWNS

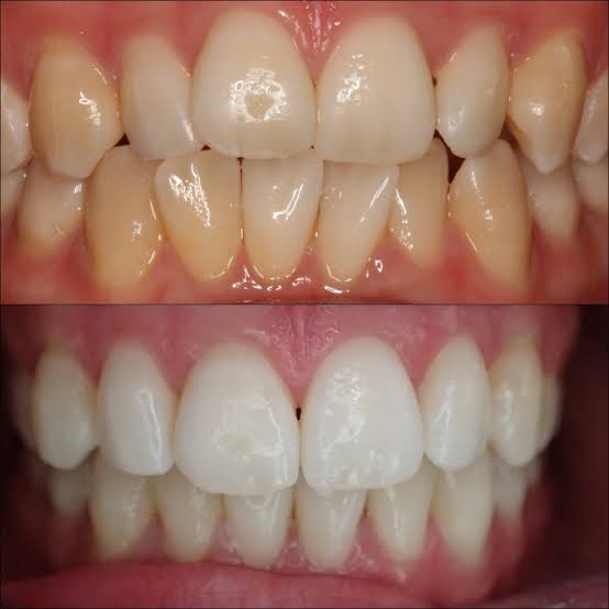
TEETH WHITENING

ROOT CANAL TREATMENT

TOOTH COLOURED RESTORATION

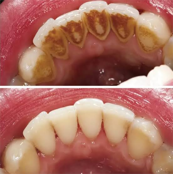
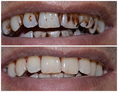
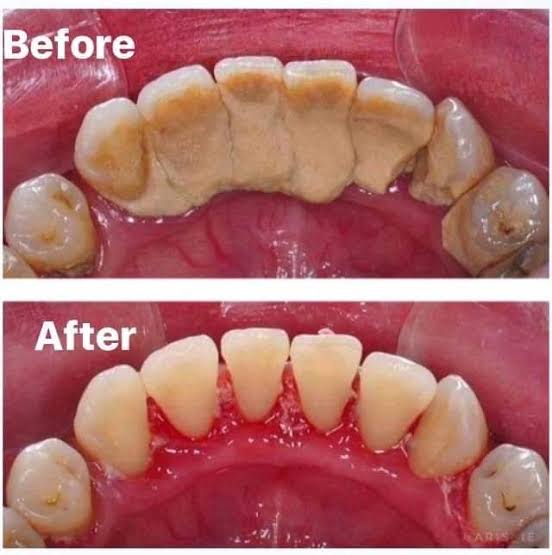
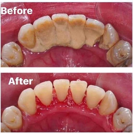
SCALING/CLEANING OF TEETH

SCALING/CLEANING OF TEETH

SCALING/CLEANING OF TEETH

SCALING/CLEANING OF TEETH

SCALING/CLEANING OF TEETH

SCALING/CLEANING OF TEETH

SCALING/CLEANING OF TEETH

SCALING/CLEANING OF TEETH

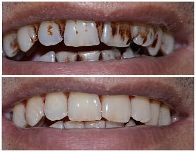
TEETH WHITENING


Our Dentist

Dr. Sudhir Kapoor

Orthodontics